Dental Bonding

If you have a cracked, chipped, or discolored smile, Dr. Olson can bond your teeth and give you the smile you deserve. Bonding involves using a composite resin to restore your teeth’s natural appearance while preserving their strength and structure. We welcome you to call us at 732-254-6669 to make your appointment with our dentist at Clarity Dental and learn more about dental bonding in East Brunswick, NJ.

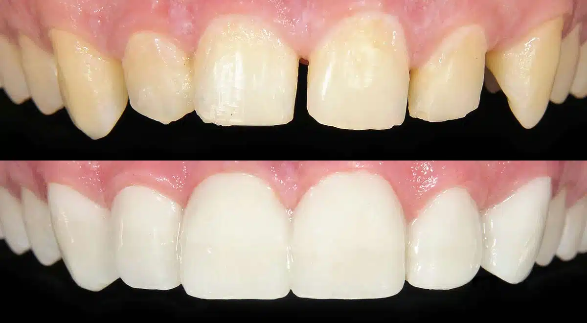
Dental bonding is a simple, conservative way to improve the appearance of your smile. During the bonding process, our skilled dentist and team place a composite resin material directly onto the tooth structure. Because the resin is malleable and puttylike when first applied, we can shape and sculpt it to fit your tooth and correct flaws in the tooth’s appearance. The composite resin is then hardened, trimmed and polished to provide a lasting, aesthetic restoration for your smile. Dental bonding typically requires just one visit to our welcoming dental office, and because this treatment usually necessitates little to no tooth preparation, you can rest assured that your visit will be quick and comfortable.

Bonding works when you want to improve the appearance of your smile. It can repair chips, fill in gaps and spaces between teeth, or even change your smile’s shape. We will use a shade that matches the rest of your teeth, so that your smile retains its natural color. If you want to brighten your smile, we can use a shade that is slightly lighter.